PRESERVE

THE REFINED RIDGE PRESERVATION COURSE

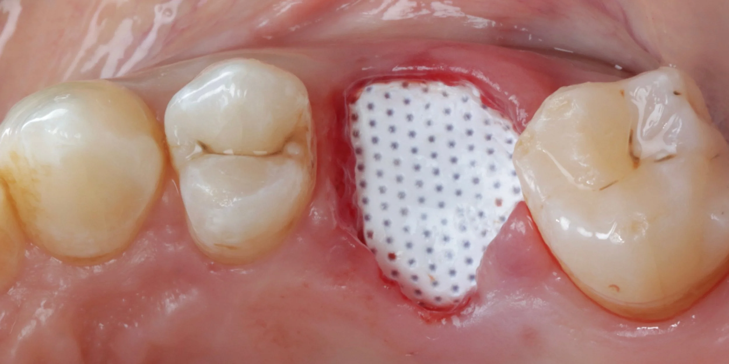
This under utilised yet highly valuable skill forms the foundations to help maintain gingival and alveolar architecture. From the general to the implant dentist, 15c will provide you with a predictable and simplified approach to ensure you can cultivate the ideal conditions for future implant or bridge placement for your patients. Learn surgical tips to improve your extraction and suturing techniques. Become confident in socket debridement and cleansing. Understand and see the different biomaterials available & the advantages and disadvantages of each. Practice how to use all of these skills to neatly and confidently perform ridge preservation in practice.

RVIVE
£800.00

In Person Course

Tower Suites by Blue Orchid

Thames Suite

100 Minories

London

EC3N 1JY

Arrival: 8.30am | Finish: 5.30pm

Optional social drinks after

Register for new dates