RESTORE

THE ONLY CERAMIC & IMPLANT DESIGN COURSE

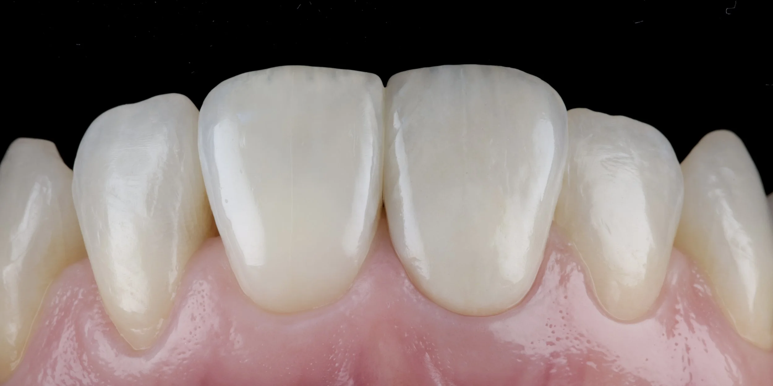
Truly spectacular restorative outcomes can only be achieved with an appreciation for the soft tissues and an understanding and knowledge of all ceramic systems. Aesthetic Prosthetic will clearly explain the differences and how to best use and prescribe Emax, Zirconia, PFM, monolithic and layered restorations. The result will be superior material selection and lab prescription. Learn the prosthetic design elements and features of implant restorations with hands on impression/scanning and restoration of a single uni implant restoration. This course will equip you with the skills to confidently plan, design and restore any type of case restorative case with style.

RVIVE
£800.00

In Person Course

Tower Suites by Blue Orchid

Thames Suite

100 Minories

London

EC3N 1JY

Arrival: 8.30am | Finish: 5.30pm

Optional social drinks after

Register for new dates